يعتبر التصوير الطبي وسيلة استقصائية هامة تساعد الأطباء للوصول للتشخيص الأكيد للأمراض و ان التقنيات المتطورة و النوعية العالية للتصوير تشكل عاملا هاما في المحافظة على صحة المرضى و التشخيص الدقيق للآفات المرضية .
(#0104) CT Osteoid Osteoma
(#0166) MRI DNET
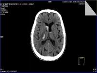
(#0172) CT Hypertensive ICH with Intraventricular Extension